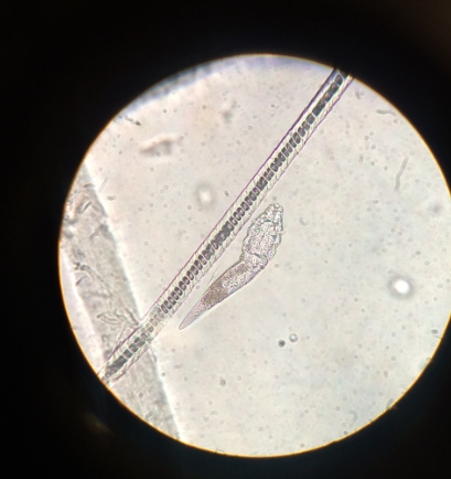
주사피부염과 모낭충의 연관성: 새로운 병리학적 관점
주사피부염(Rosacea)은 단순한 피부 질환으로 여겨지기 쉬우나, 그 병리학적 기전은 복잡하고 다차원적인 요소로 구성되어 있습니다. 최근의 연구들은 주사피부염의 발생과 악화에 있어 **모낭충(Demodex folliculorum)**의 역할이 점점 더 부각되고 있습니다. 모낭충은 일반적으로 건강한 피부에도 존재하는 기생충으로, 얼굴의 모공과 피지선에 서식합니다. 하지만 주사피부염 환자에서는 모낭충의 개체 수가 비정상적으로 증가하거나, 면역 체계가 모낭충에 과도하게 반응하는 특성이 관찰됩니다.
모낭충은 피부 표면에서 피지와 각질을 섭취하며 생존하는데, 이 과정에서 다양한 부산물을 생성합니다. 이러한 부산물은 피부의 방어벽을 약화시키고, 염증을 유발하는 **염증성 사이토카인(Interleukin-8, Tumor Necrosis Factor-α)**의 분비를 촉진합니다. 더욱이 모낭충 내부에서 발견된 특정 세균(예: Bacillus oleronius)은 피부 면역 체계를 과도하게 자극하여 염증 반응을 심화시키는 주요 원인으로 작용합니다. 이런 염증 반응은 주사피부염의 특징적인 증상인 홍조, 붉은 반점, 그리고 염증성 병변의 발생으로 이어집니다.
한편, 모낭충은 주사피부염의 증상을 단순히 악화시키는 요소로만 작용하는 것이 아닙니다. 일부 환자에서는 모낭충이 주사피부염의 주요 기저 원인으로 작용하기도 합니다. 예를 들어, 면역 체계의 이상으로 인해 모낭충의 대사 부산물이나 박테리아에 대한 반응이 비정상적으로 과도할 경우, 피부 조직의 손상이 가속화됩니다. 이러한 손상은 염증의 악순환을 유발하여 증상이 지속적이고 만성적으로 유지되게 만듭니다.
최근의 병리학적 연구는 주사피부염 환자의 피부에서 발견되는 모낭충의 밀도가 일반인보다 약 10배 이상 높을 수 있음을 보여주고 있습니다. 또한, 주사피부염의 유형에 따라 모낭충의 분포와 활동성이 다르게 나타날 수 있습니다. 예컨대, 혈관 확장이 주로 나타나는 **홍반성 주사피부염(Erythematotelangiectatic Rosacea)**에서는 모낭충이 비교적 적지만, 염증성 병변이 두드러지는 **구진농포성 주사피부염(Papulopustular Rosacea)**에서는 모낭충의 밀도가 훨씬 높은 경향을 보입니다. 이처럼 모낭충과 주사피부염의 연관성에 대한 이해가 점점 깊어짐에 따라, 모낭충 억제를 목표로 하는 치료법이 주사피부염 관리의 핵심으로 자리 잡고 있습니다.

수란트라(Ivermectin 1% 크림): 모낭충 억제와 염증 완화의 새로운 패러다임
수란트라(Soolantra)는 주사피부염의 치료에 있어 새로운 국면을 연 국소 치료제로, 아이버멕틴(Ivermectin)을 주요 성분으로 포함하고 있습니다. 아이버멕틴은 원래 기생충 감염 치료제로 개발된 약물이지만, 항기생충 및 항염증 효과를 통해 주사피부염의 증상을 효과적으로 개선하는 것으로 밝혀졌습니다. 특히, 모낭충의 생존 기전을 표적화함으로써 주사피부염 환자들에게 새로운 희망을 제공하고 있습니다.
아이버멕틴의 작용 기전은 모낭충의 신경 및 근육 세포에 존재하는 글루탐산-의존적 클로라이드 채널(Glutamate-gated chloride channel)에 결합하는 것입니다. 이 결합은 모낭충의 신경 신호 전달을 방해하여 근육 마비와 궁극적으로 사멸을 유도합니다. 또한, 아이버멕틴은 염증을 유발하는 피부 면역 반응을 조절하는 데 관여합니다. 이는 염증성 매개체의 발현을 억제하고, 주사피부염 환자에서 흔히 관찰되는 과도한 면역 반응을 완화하는 데 도움을 줍니다.
임상 시험에서 수란트라는 기존의 치료제인 메트로니다졸(Metronidazole)보다 우수한 성능을 보였습니다. 예를 들어, 12주 동안 수란트라를 사용한 환자 그룹은 염증성 병변이 75% 이상 감소한 반면, 메트로니다졸 사용자 그룹은 약 55%의 개선률을 보였습니다. 또한, 수란트라는 초기 몇 주 이내에 증상의 완화를 경험할 수 있다는 점에서 주사피부염 환자들에게 긍정적인 평가를 받고 있습니다.
수란트라는 단순히 모낭충을 억제하는 데 그치지 않고, 피부의 전반적인 건강을 개선하는 데도 기여합니다. 염증성 병변의 감소와 함께, 피부의 결이 고르게 정돈되고, 과도한 유분 분비가 조절되며, 홍조 증상이 완화됩니다. 또한, 수란트라는 낮은 부작용 발생률로 인해 장기간 사용에도 적합하며, 특히 민감성 피부를 가진 주사피부염 환자들에게 안전하게 사용할 수 있는 치료제로 주목받고 있습니다.
사용법은 간단합니다. 하루에 한 번 세안 후 건조한 피부에 얇게 도포하며, 12주 이상의 꾸준한 사용을 통해 안정적인 효과를 기대할 수 있습니다. 사용 초기에는 피부 건조감이나 따가움이 나타날 수 있으나, 이는 대부분 시간이 지나면서 감소합니다. 이러한 특성 덕분에 수란트라는 모낭충과 주사피부염의 연관성을 타겟으로 한 치료제 중 가장 혁신적인 약물로 자리매김하고 있습니다.
IPL과 레이저 치료: 혈관 문제 해결과 증상 완화
IPL(Intense Pulsed Light)과 레이저 치료는 주사피부염의 주요 증상인 혈관 확장과 홍조를 완화하는 데 널리 사용되는 비침습적 치료법입니다. 두 치료법 모두 피부의 표피와 진피층에 도달하는 고에너지 빛을 활용하여 염증 및 혈관 이상을 조절합니다. IPL은 다양한 파장의 빛을 피부에 조사하여 혈관 확장을 감소시키고, 색소 침착과 홍반을 완화하는 데 효과적입니다. 특히, IPL은 멜라닌과 혈관 내 헤모글로빈을 타겟으로 하여 표피 손상을 최소화하면서도 피부 톤과 질감을 개선할 수 있습니다. IPL 치료는 주사피부염의 초기 단계에서 특히 효과적이며, 치료 후 피부가 매끄럽고 균일한 톤을 유지할 수 있습니다. 반면, 레이저 치료는 보다 특정한 파장을 사용하여 혈관 문제를 집중적으로 치료합니다. 대표적인 예로 색소 레이저(Pulsed Dye Laser, PDL)가 있으며, 이 레이저는 확장된 혈관에 흡수되어 혈관을 수축시키고 염증을 감소시킵니다. 레이저 치료는 IPL보다 깊은 층의 혈관 문제를 해결할 수 있는 장점이 있으며, 특히 중등도에서 중증 주사피부염 환자들에게 적합합니다.
두 치료법 모두 반복적인 세션이 필요하며, 개인의 피부 상태와 증상에 따라 치료 빈도와 강도가 조정됩니다. 치료 후 일시적인 홍조나 따가움이 발생할 수 있지만, 이는 대부분 단기간에 완화됩니다. IPL과 레이저 치료는 약물 치료와 병행할 경우 더욱 효과적인 결과를 보이며, 주사피부염 환자들의 삶의 질을 크게 향상시킬 수 있는 비약물적 옵션으로 주목받고 있습니다.
위의 최신 치료법들은 각각의 장점과 특성을 가지고 있어 환자의 증상과 상태에 따라 선택적으로 적용될 수 있습니다. 주사피부염 치료의 최적화는 개별 환자의 피부 반응과 생활 습관을 고려한 맞춤형 접근을 통해 이루어질 수 있습니다.
'피부건강' 카테고리의 다른 글
| 얼굴과 손등에 생긴 편평사마귀, 자연 치유 가능할까? (0) | 2025.01.13 |
|---|---|
| 편평사마귀 제거를 위한 효과적인 관리법과 치료법 (2) | 2025.01.13 |
| 초기 편평사마귀 증상: 미리 알아두어야 할 주요 특징 (1) | 2025.01.12 |
| 편평사마귀의 원인: HPV 감염과 피부 손상의 연관성 (0) | 2025.01.12 |
| 스트레스와 주사피부염: 생활 속 효과적 관리법 (0) | 2025.01.12 |
| 주사피부염과 자외선: 햇빛 노출이 병변에 미치는 영향 (1) | 2025.01.11 |
| 주사피부염 환자들이 피해야 할 생활습관과 음식 (1) | 2025.01.10 |
| 주사피부염 초기 증상: 잘못된 여드름 진단의 함정 (3) | 2025.01.10 |